Especialidades Odontológicas no Guará Brasília | Odonto On Face

🦷 Especialidades Odontológicas no Guará Brasília

Cuidado completo para o seu sorriso com tecnologia e profissionais especializados

Especialidades Odontológicas no Guará: Excelência em Saúde Bucal

Bem-vindo à Odonto On Face, sua clínica de especialidades odontológicas no Guará, Brasília e Taguatinga. Inicialmente, oferecemos tratamentos completos como implante dentário, clareamento dental, ortodontia e harmonização facial. Além disso, nossa equipe é especializada em tratamento de canal, odontologia infantil e atendimento de urgência.

Consequentemente, atendemos diversos convênios, incluindo Unimed e Metlife. Portanto, você pode contar com nossas especialidades odontológicas com cobertura do seu plano. Além disso, nossa localização privilegiada no Guará, Brasília e Taguatinga facilita o acesso aos nossos serviços de qualidade.

🦷

Clínica Geral - Especialidades Odontológicas Preventivas

Prevenção e cuidados básicos para manter seu sorriso saudável no Guará

Limpeza Dental especialidades odontológicas Guará Brasília

Limpeza Dental (Profilaxia)

Inicialmente, realizamos a remoção eficaz de placa bacteriana e tártaro. Em seguida, eliminamos manchas superficiais que comprometem a estética. Além disso, este procedimento é essencial para prevenir cáries e doenças gengivais. Por fim, promove um sorriso mais saudável, bonito e confiante. Veja também nosso clareamento dental.

Aplicação de Flúor odontologia preventiva Guará

Aplicação de Flúor

O fortalecimento do esmalte dental é fundamental para prevenir cáries. Por isso, este tratamento é especialmente importante para crianças e adolescentes. Além disso, protege durante a fase de desenvolvimento. Consequentemente, garante dentes mais resistentes e saudáveis a longo prazo. Conheça nossa odontopediatria.

Exame Clínico especialidades odontológicas diagnóstico

Exame Clínico e Diagnóstico

Em primeiro lugar, uma avaliação completa da saúde bucal permite a identificação precoce de problemas. Posteriormente, analisamos cada detalhe com atenção. Consequentemente, podemos oferecer orientações preventivas personalizadas. Assim, cada paciente recebe o cuidado ideal para suas necessidades específicas.

Orientação Higiene Bucal dentista Guará

Orientação de Higiene Bucal

Oferecemos instruções personalizadas sobre escovação correta. Em seguida, ensinamos o uso adequado do fio dental. Além disso, demonstramos técnicas eficazes para manter a saúde bucal. Dessa forma, você aprende a cuidar melhor dos seus dentes no dia a dia.

Dentística - Clareamento Dental e Estética

Restauração e embelezamento do seu sorriso com especialidades odontológicas

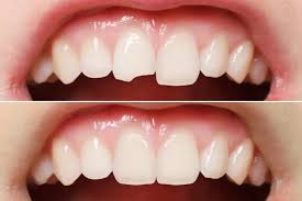
Restaurações Resina especialidades odontológicas Guará

Restaurações em Resina

O tratamento de cáries utiliza material estético de alta qualidade. Além disso, este material imita perfeitamente a cor natural dos dentes. Dessa forma, preservamos tanto a saúde quanto a aparência. Portanto, seu sorriso permanece bonito e funcional após o procedimento.

Clareamento Dental Guará Brasília Taguatinga

Clareamento Dental no Guará

Oferecemos clareamento dental a laser com resultados imediatos. Alternativamente, disponibilizamos moldeiras personalizadas para uso domiciliar. Como resultado, você obtém um sorriso mais branco e radiante. Além disso, o resultado é completamente natural e duradouro. Veja também harmonização facial.

Facetas Porcelana especialidades odontológicas estética

Facetas em Porcelana

Utilizamos lâminas ultrafinas de porcelana de alta qualidade. Posteriormente, corrigimos forma, cor e alinhamento dos dentes. Além disso, proporcionam um resultado extremamente natural. Consequentemente, você obtém um sorriso harmônico e duradouro por muitos anos.

Lentes Contato Dental odontologia estética Guará

Lentes de Contato Dental

Estas facetas são ainda mais finas que as tradicionais. Por isso, permitem a transformação completa do sorriso com mínima intervenção. Por consequência, há mínimo desgaste dental. Assim, preservamos ao máximo a estrutura original dos seus dentes.

Reconstrução Dental especialidades odontológicas Brasília

Reconstrução Dental

Avaliamos dentes fraturados ou muito danificados. Em seguida, realizamos a recuperação completa da estrutura. Através de técnicas avançadas de restauração, devolvemos função mastigatória. Além disso, restauramos a estética e a confiança no seu sorriso.

😁

Ortodontia no Guará - Aparelho Dental

Alinhamento e correção da posição dos dentes com especialidades odontológicas

Aparelho Fixo Metálico ortodontia Guará Brasília

Aparelho Fixo Metálico

Este tratamento ortodôntico tradicional é extremamente eficaz. Em seguida, corrige diversos problemas de alinhamento e mordida. Além disso, oferece resultados previsíveis e duradouros. Portanto, é uma escolha confiável para transformação do alinhamento dental. Conheça também o aparelho estético.

Aparelho Estético ortodontia especialidades Guará

Aparelho Estético (Porcelana/Safira)

Os braquetes transparentes ou da cor dos dentes são selecionados. Consequentemente, este tratamento é muito mais discreto e elegante. Portanto, você pode sorrir com confiança durante todo o processo. Além disso, mantém a mesma eficácia do aparelho tradicional.

Alinhadores Invisíveis Invisalign ortodontia Guará

Alinhadores Invisíveis (Invisalign)

Utilizamos placas removíveis transparentes personalizadas. Como resultado, o tratamento é praticamente invisível aos olhos. Além disso, é extremamente confortável e higiênico. Assim, não interfere na sua rotina diária nem na alimentação.

Ortodontia Infantil especialidades odontológicas crianças

Ortodontia Preventiva e Interceptativa

PEste tratamento ortodôntico em crianças guia o crescimento ósseo adequadamente. Dessa maneira, previne problemas futuros mais graves. Além disso, reduz a necessidade de tratamentos complexos. Consequentemente, proporciona desenvolvimento saudável da estrutura facial e dental. Veja nossa odontopediatria.

Contenção Ortodôntica aparelho dental Guará

Contenção Ortodôntica

Oferecemos aparelhos removíveis ou fixos para contenção. Em seguida, estes dispositivos mantêm os dentes na posição correta. Consequentemente, garantimos a estabilidade dos resultados obtidos. Portanto, seu investimento no tratamento ortodôntico é preservado permanentemente.

🔩

Implante Dentário no Guará Brasília

Substituição de dentes perdidos com implantes dentários - Especialidades Odontológicas

Implante Dentário Unitário Guará Brasília Taguatinga

Implante Dentário Unitário

Realizamos a substituição de um único dente com pino de titânio. Em seguida, instalamos uma coroa protética de alta qualidade. Além disso, o resultado tem aparência completamente natural. Portanto, funciona exatamente como um dente real em todos os aspectos. Oferecemos implante dentário com convênio Unimed e Metlife.

Prótese sobre Implantes protocolo especialidades odontológicas

Prótese sobre Implantes (Protocolo)

Esta técnica permite a substituição de todos os dentes de uma arcada. Por meio de prótese fixa sobre implantes, você recupera totalmente a função mastigatória. Além disso, restaura a estética do sorriso. Consequentemente, melhora significativamente sua qualidade de vida e autoestima.

Implante Carga Imediata especialidades odontológicas Guará

Implante com Carga Imediata

Utilizamos uma técnica avançada e moderna. Em seguida, permite colocação do dente provisório no mesmo dia da cirurgia. Dessa forma, você não precisa ficar sem dentes durante o período de cicatrização. Portanto, mantém sua aparência e função mastigatória desde o primeiro dia.

Enxerto Ósseo implante dentário Guará Brasília

Enxerto Ósseo para Implante

Realizamos reconstrução óssea quando há perda de volume. Em seguida, aguardamos a integração completa do enxerto. Consequentemente, este procedimento permite a colocação de implantes mesmo em casos desafiadores. Assim, viabilizamos tratamentos que antes pareciam impossíveis.

All-on-4 All-on-6 implante dentário especialidades

All-on-4 / All-on-6

A técnica avançada possibilita reabilitação total com apenas 4 ou 6 implantes. Portanto, reduz significativamente custos e tempo de tratamento. Além disso, não compromete os resultados finais. Consequentemente, é uma excelente opção para quem busca eficiência e qualidade.

🦷

Tratamento de Canal - Endodontia Guará

Tratamento de canal e doenças da polpa dentária - Especialidades Odontológicas

Tratamento de Canal Guará Brasília Taguatinga urgência

Tratamento de Canal no Guará

Inicialmente, realizamos a remoção cuidadosa da polpa dental inflamada ou infectada. Posteriormente, fazemos a limpeza completa dos canais radiculares. Em seguida, realizamos o selamento adequado para prevenir reinfecções. Assim, salvamos o dente e eliminamos completamente a dor. Atendemos urgências dentárias.

Retratamento Endodôntico canal especialidades odontológicas

Retratamento Endodôntico

Este procedimento envolve um novo tratamento de canal. Em seguida, trabalhamos em dentes previamente tratados que apresentam problemas. Dessa maneira, solucionamos complicações que possam ter surgido posteriormente. Portanto, oferecemos uma nova chance de salvar o dente natural.

Endodontia Microscópio tratamento canal Guará

Endodontia com Microscópio

Nós utilizamos microscópio operatório de última geração. Consequentemente, o tratamento de canal é realizado com altíssima precisão. Portanto, esta tecnologia é ideal para casos complexos. Além disso, exige máxima acurácia e aumenta significativamente a taxa de sucesso.

Tratamento Urgência dentista Guará Brasília emergência

Tratamento de Urgência Dentária

Oferecemos atendimento emergencial para dor aguda e intensa. Além disso, tratamos abcessos e traumas dentários rapidamente. Dessa forma, estamos preparados para resolver situações críticas. Portanto, aliviamos rapidamente o desconforto e restauramos seu bem-estar imediatamente. Atendimento de urgência no Guará.

🌱

Periodontia - Especialidades Odontológicas Gengiva

Tratamento das gengivas e estruturas de suporte dos dentes

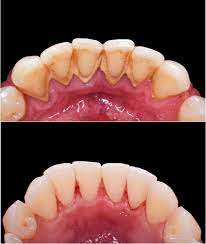
Raspagem Periodontal limpeza gengiva Guará Brasília

Raspagem e Alisamento Radicular

Executamos limpeza profunda para remover tártaro abaixo da gengiva. Em seguida, realizamos o alisamento das raízes dentárias. Consequentemente, este tratamento é eficaz contra doenças periodontais. Além disso, preserva a saúde bucal e previne perda óssea ao redor dos dentes.

Gengivoplastia cirurgia gengiva especialidades Guará

Gengivoplastia

Esta cirurgia plástica gengival corrige o contorno da gengiva. Em seguida, proporciona simetria e harmonia ao sorriso. Além disso, é ideal para tratamento do sorriso gengival. Consequentemente, proporciona harmonia facial e aumenta significativamente a autoconfiança. Veja também harmonização facial.

Enxerto Gengival periodontia especialidades odontológicas

Enxerto Gengival

Em primeiro lugar, realizamos este procedimento para cobrir raízes expostas efetivamente. Dessa forma, tratamos a recessão gengival de maneira definitiva. Além disso, prevenimos sensibilidade dental e outros problemas. Portanto, protegemos a estrutura do dente e melhoramos a estética.

Tratamento Gengivite Periodontite Guará Brasília

Tratamento de Gengivite e Periodontite

Tratamos inflamações e infecções gengivais de forma abrangente. Em seguida, eliminamos os agentes causadores da doença. Por isso, nosso objetivo é preservar os dentes naturais. Além disso, mantemos a saúde periodontal a longo prazo com acompanhamento regular.

Cirurgia Periodontal gengiva especialidades odontológicas

Cirurgia Periodontal

Executamos procedimentos cirúrgicos para tratamento avançado. Em seguida, acessamos áreas profundas afetadas pela doença periodontal. Portanto, esta é a solução ideal para casos complexos. Consequentemente, requer intervenção cirúrgica especializada para recuperação completa da saúde gengival.

👑

Prótese Dentária - Especialidades Odontológicas

Restauração e reposição de dentes com próteses no Guará

Coroa Porcelana prótese dentária Guará Brasília

Coroa em Porcelana

Oferecemos revestimento completo do dente para restaurar forma e função. Além disso, a estética é perfeitamente preservada com material de alta qualidade. Consequentemente, o resultado é extremamente natural. Portanto, ninguém percebe que você está usando uma coroa protética.

Ponte Fixa prótese especialidades odontológicas

Ponte Fixa

Esta prótese fixa substitui um ou mais dentes ausentes eficientemente. Através do apoio em dentes adjacentes, restauramos sua capacidade mastigatória. Além disso, recupera a estética do sorriso. Consequentemente, você volta a mastigar e sorrir com confiança e segurança.

Prótese Total Dentadura especialidades Guará

Prótese Total (Dentadura)

A prótese removível substitui todos os dentes de uma arcada. Consequentemente, você recupera função mastigatória completa. Além disso, melhora significativamente sua qualidade de vida. Portanto, volta a se alimentar adequadamente e sorrir sem constrangimentos.

Prótese Parcial Removível especialidades odontológicas

Prótese Parcial Removível

Nós utilizamos prótese removível com grampos para substituir alguns dentes. Dessa maneira, oferecemos uma solução prática e acessível. Além disso, proporciona reabilitação parcial eficiente. Portanto, é ideal para quem busca funcionalidade com bom custo-benefício.

Prótese Flexível silicone Guará Brasília

Prótese Flexível

A prótese removível estética não possui grampos metálicos. Por isso, é muito mais discreta e elegante. Além disso, é mais confortável e natural. Consequentemente, proporciona maior discrição no uso diário e aumenta significativamente sua autoconfiança.

Overdenture prótese implante especialidades odontológicas

Overdenture

Ofertamos prótese total removível com encaixe sobre implantes. Além disso, este sistema proporciona maior estabilidade durante a mastigação. Consequentemente, elimina o desconforto das próteses convencionais. Portanto, você mastiga com segurança e conforto incomparáveis. Saiba mais sobre implante dentário.

👶

Odontopediatria - Dentista Infantil Guará

Cuidado odontológico especializado para bebês, crianças e adolescentes

Odontopediatria bebê primeira consulta Guará Brasília

Primeira Consulta do Bebê

Realizamos avaliação inicial completa do bebê. Em seguida, orientamos os pais adequadamente sobre cuidados essenciais. Dessa forma, estabelecemos cuidados bucais corretos desde o início. Além disso, acompanhamos o aparecimento dos primeiros dentes com atenção especial. Dentista infantil no Guará.

Aplicação Flúor Infantil odontopediatria Guará

Aplicação de Flúor Infantil

Aplicamos flúor para fortalecer o esmalte dental em crianças. Consequentemente, este tratamento preventivo é fundamental para evitar cáries. Além disso, protege durante toda a infância. Portanto, garante dentes mais fortes e resistentes às agressões do dia a dia.

Selante Dental infantil especialidades odontológicas

Selante Dental

É aplicada cobertura protetora nos sulcos dos dentes infantis. Portanto, este procedimento previne efetivamente o acúmulo de resíduos. Além disso, impede a formação de cáries nas áreas mais vulneráveis. Consequentemente, protege os dentes permanentes desde a sua erupção.

Tratamento Cáries Crianças odontopediatria Guará

Tratamento de Cáries em Crianças

Executamos restaurações especialmente adaptadas para o atendimento pediátrico. Em seguida, utilizamos técnicas que tornam a experiência positiva. Além disso, trabalhamos para criar um ambiente acolhedor. Portanto, garantimos tratamentos sem traumas e com máximo conforto.

Pulpotomia tratamento canal dente leite Guará

Pulpotomia (Tratamento de Canal em Dente de Leite)

Realizamos este procedimento para salvar dentes de leite comprometidos. Dessa maneira, mantemos o espaço adequado na arcada dentária. Além disso, garantimos o desenvolvimento correto dos dentes permanentes. Consequentemente, prevenimos problemas ortodônticos futuros mais complexos.

Educação Saúde Bucal infantil odontopediatria

Educação e Orientação em Saúde Bucal

Ensinamos técnicas de escovação de forma lúdica e divertida. Por meio de atividades interativas e educativas, promovemos hábitos saudáveis. Além disso, utilizamos recursos visuais atrativos. Consequentemente, as crianças aprendem e incorporam bons hábitos desde a infância.

⚕️

Cirurgia Oral - Especialidades Odontológicas

Procedimentos cirúrgicos da cavidade oral e face no Guará

Extração Dental cirurgia Guará Brasília

Extração Dental Simples

Realizamos a remoção de dentes comprometidos de forma segura. Além disso, utilizamos técnicas modernas que garantem mínimo desconforto. Dessa forma, o procedimento é rápido e eficiente. Consequentemente, a recuperação ocorre de maneira tranquila e sem complicações.

Extração Siso cirurgia especialidades Guará

Extração de Dentes do Siso

Executamos a remoção de terceiros molares inclusos ou semi-inclusos. Por meio de técnicas avançadas e minimamente invasivas, proporcionamos cirurgia segura. Além disso, garantimos pós-operatório mais tranquilo. Consequentemente, você tem rápida recuperação com mínimo inchaço e desconforto.

Frenectomia cirurgia oral Guará Brasília

Frenectomia

Esta cirurgia remove ou reposiciona o freio labial ou lingual. Consequentemente, melhora significativamente a fonação e a mastigação. Além disso, previne problemas ortodônticos futuros. Portanto, é especialmente indicada para crianças em fase de desenvolvimento da fala.

Biópsia Oral cirurgia especialidades odontológicas

Biópsia Oral

Removemos fragmento de tecido para análise laboratorial detalhada. Dessa forma, possibilitamos o diagnóstico preciso de lesões bucais. Além disso, identificamos precocemente qualquer alteração suspeita. Consequentemente, permite tratamento adequado e rápido quando necessário.

Cirurgia Pré-Protética especialidades Guará

Cirurgia Pré-Protética

Inicialmente realizamos preparação cirúrgica dos tecidos para instalação de próteses. Portanto, este procedimento garante melhor adaptação da prótese. Além disso, proporciona maior durabilidade das próteses dentárias. Consequentemente, você desfruta de conforto e estabilidade superiores no uso diário.

Apicectomia cirurgia oral Guará Brasília

Apicectomia

cirurgia para remoção da ponta da raiz dentária. Por meio deste procedimento especializado, solucionamos casos de infecções persistentes. Além disso, tratamos situações que não responderam ao tratamento convencional. Portanto, é a última alternativa antes da extração do dente.

😣

DTM e Dor Orofacial - Especialidades Odontológicas

Diagnóstico e tratamento de disfunções temporomandibulares no Guará

Diagnóstico DTM especialidades odontológicas Guará

Diagnóstico de DTM

Avaliação completa da articulação temporomandibular. Além disso, analisamos cuidadosamente os músculos da mastigação. Dessa forma, identificamos a origem exata do problema. Consequentemente, podemos planejar o tratamento mais adequado para seu caso específico.

Placa Bruxismo DTM Guará Brasília

Placa Miorrelaxante

Confeccionamos dispositivo personalizado para tratamento de bruxismo. Dessa forma, protegemos os dentes durante o sono contra o desgaste. Além disso, aliviamos a tensão muscular acumulada. Consequentemente, você acorda mais descansado e sem dores na mandíbula.

Tratamento Bruxismo especialidades odontológicas

Tratamento de Bruxismo

Em primeiro lugar, oferecemos abordagem multidisciplinar para controle do bruxismo. Por meio de diferentes técnicas integradas, proporcionamos alívio efetivo. Além disso, trabalhamos as causas emocionais e físicas. Portanto, o tratamento é completo e aborda todos os aspectos do problema.

Toxina Botulínica DTM Botox Guará

Toxina Botulínica para DTM

botox terapêutico para relaxamento muscular profundo. Consequentemente, há significativo alívio da dor e do desconforto. Além disso, melhora a qualidade de vida do paciente rapidamente. Portanto, é uma opção eficaz para casos de dor crônica refratária. Veja também botox estético.

Laserterapia DTM especialidades odontológicas

Laserterapia

Utilizamos laser de baixa potência para redução de dor. Portanto, este tratamento não invasivo acelera a recuperação natural. Além disso, reduz significativamente a inflamação local. Consequentemente, proporciona alívio imediato e duradouro sem efeitos colaterais indesejados.

💉

Harmonização Facial - Botox e Preenchimento Guará

Procedimentos estéticos faciais - Especialidades Odontológicas Brasília

Botox Toxina Botulínica harmonização facial Guará Brasília

Botox - Toxina Botulínica Guará

Nós aplicamos toxina botulínica (botox) para suavização de rugas profundas. Dessa maneira, rejuvenescemos o terço superior da face completamente. Além disso, o resultado é natural e harmônico. Consequentemente, você aparenta estar mais jovem, descansado e radiante. Harmonização facial no Guará.

Preenchimento Labial harmonização facial Guará

Preenchimento Labial no Guará

É feito o aumento e definição dos lábios com ácido hialurônico. Além disso, o resultado é completamente natural e equilibrado. Consequentemente, proporciona harmonia ao sorriso e ao rosto. Portanto, você ganha lábios mais volumosos e bonitos de forma segura. Preenchimento labial em Brasília.

Preenchimento Facial harmonização Guará Brasília

Preenchimento Facial Guará

Executamos restauração de volume facial perdido. Além disso, preenchemos sulcos e rugas profundas estrategicamente. Consequentemente, há rejuvenescimento facial significativo e visível. Portanto, melhora a autoestima e proporciona aparência mais jovem e descansada. Preenchimento facial.

Bichectomia harmonização facial Guará Brasília

Bichectomia

Fazemos a remoção cirúrgica das bolas de Bichat. Por meio deste procedimento especializado, proporcionamos afinamento do rosto. Além disso, deixa o contorno facial mais definido e harmonioso. Consequentemente, você obtém uma aparência mais elegante e marcante.

Ácido Hialurônico harmonização facial especialidades

Ácido Hialurônico

É ácido hialurônico para hidratação profunda da pele. Além disso, preenchemos rugas e linhas de expressão marcantes. Dessa forma, promovemos rejuvenescimento facial natural e duradouro. Consequentemente, sua pele fica mais bonita, hidratada e jovem.

Pronto para Transformar seu Sorriso com Nossas Especialidades Odontológicas?

Primeiramente, nossa equipe de especialistas está preparada para oferecer o melhor tratamento no Guará, Brasília e Taguatinga. Além disso, utilizamos tecnologia de ponta e técnicas avançadas em todas as nossas especialidades odontológicas. Consequentemente, garantimos sua satisfação completa e resultados excepcionais. Portanto, agende agora mesmo sua consulta e comece sua transformação! Atendemos convênios Unimed e Metlife.

Agende sua Consulta no Guará
Clínica odontológica On Face Taguatinga